Urgencias Odontológicas en Cali
¿Dolor de muela fuerte, infección dental o diente fracturado? Recibe respuesta inmediata por WhatsApp y te atendemos lo más pronto posible. Disponibles en horario nocturno y madrugada.

Dr. Weider Gutierrez
Odontólogo
El Dr. Weider y su equipo de especialistas te atenderán con la mayor prioridad.
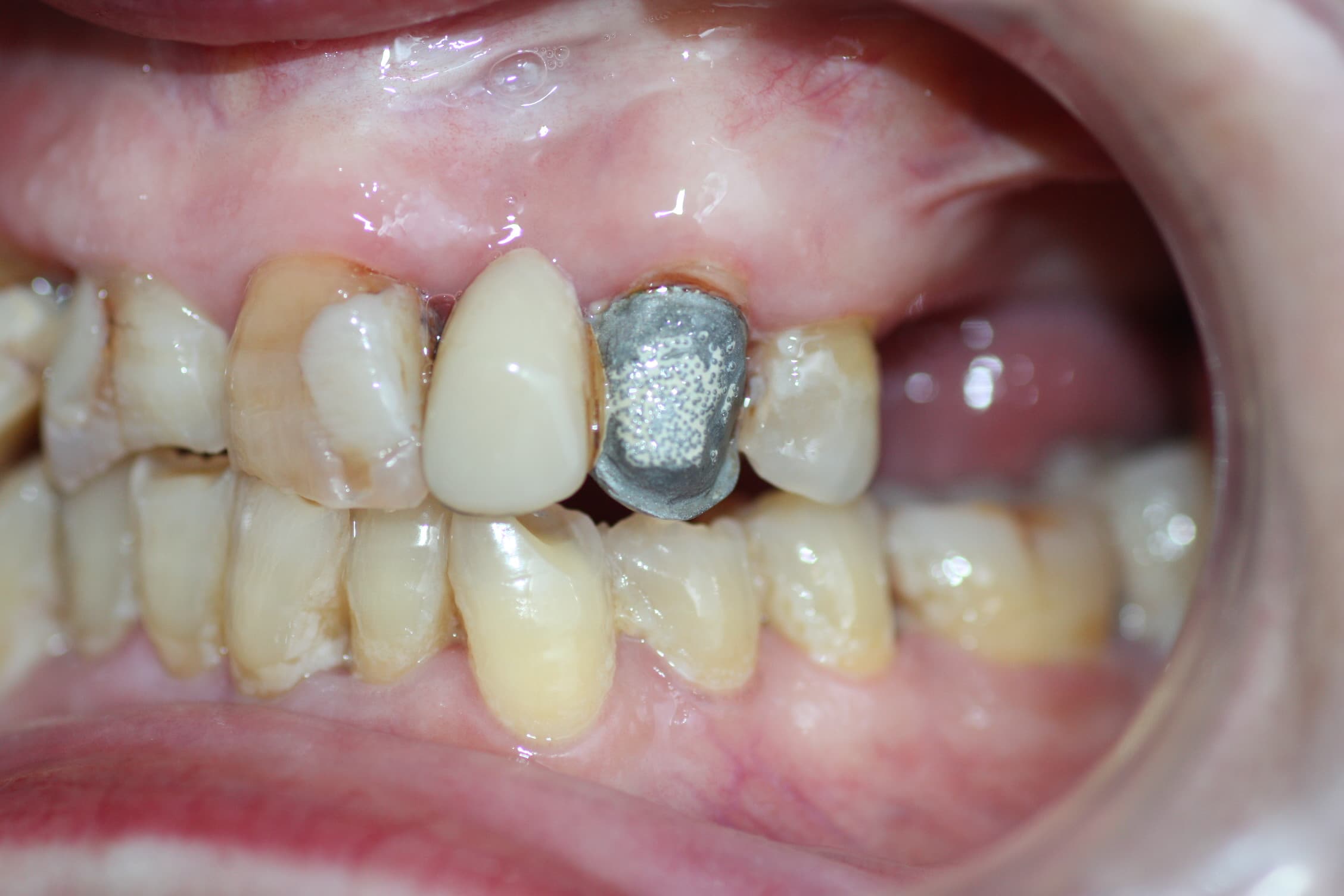
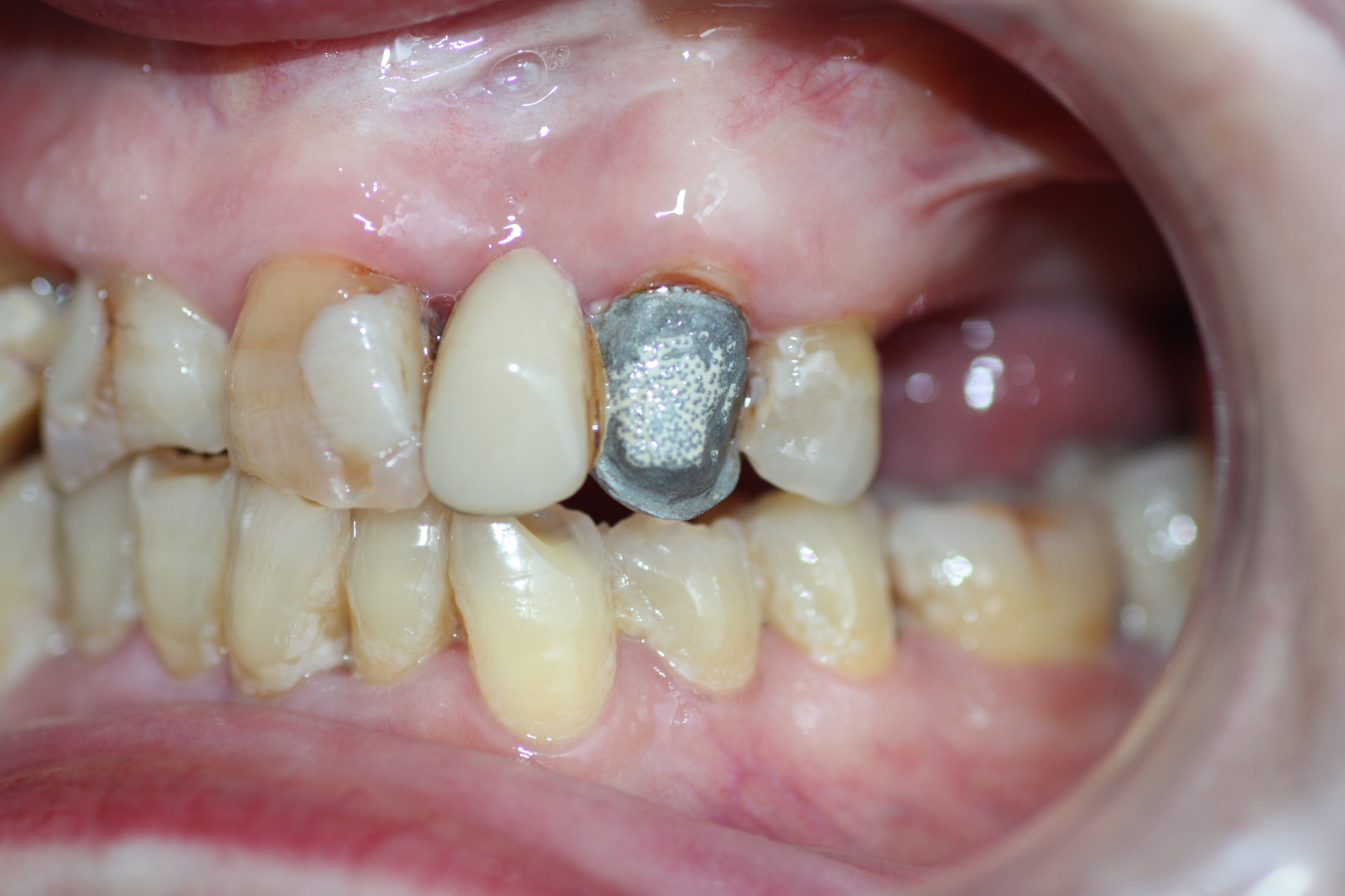
¿Te está pasando esto?
Si presentas alguno de estos síntomas, necesitas atención dental urgente en Cali. Contáctanos y tendrás la primera cita disponible.

Dolor de muela fuerte
Dolor intenso que no cede con analgésicos, especialmente en la noche.

Inflamación / Infección dental
Hinchazón en la cara, encía inflamada o presencia de pus.

Diente fracturado
Diente roto, partido o astillado por golpe o accidente.

Cordales inflamadas
Muelas del juicio con dolor, inflamación o dificultad para abrir la boca.

Corona o prótesis caída
Corona dental suelta, prótesis que se cayó o carilla desprendida.
¿Cómo funciona?
Tres pasos sencillos para agendar tu urgencia odontológica en Cali. Te atendemos lo más pronto posible.
Paga la valoración de urgencia
Pago seguro con Wompi. Acepta tarjetas, PSE y otros métodos.
Respuesta inmediata por WhatsApp
Se habilita el botón de WhatsApp para coordinar tu cita. Respuesta inmediata garantizada.
Primera cita disponible
Te atendemos lo más pronto posible. Disponibles en horario nocturno y madrugada.
¿Qué incluye la valoración?
Todo lo necesario para diagnosticar tu urgencia dental en Cali.
Precio de la valoración de urgencia
Paga tu valoración de urgencia
Pago seguro para agendar tu cita prioritaria.
Valoración de urgencia
Después del pago podrás agendar tu cita por WhatsApp
Procesado de forma segura por Wompi. Acepta tarjetas de crédito, débito, PSE y más.
Cobertura en toda Cali
Atendemos urgencias odontológicas en Cali y municipios cercanos. Atención 24/7 con respuesta inmediata.
Cali, Valle del Cauca
Colombia
El Dr. Weider Gutierrez y su equipo de especialistas ofrecen atención dental de urgencia para pacientes de toda Cali y municipios cercanos. Respuesta inmediata por WhatsApp y primera cita disponible con atención prioritaria.
Zona Norte:
Zona Sur:
Zona Oeste:
Zona Este:
Preguntas frecuentes
Resolvemos tus dudas sobre urgencias odontológicas en Cali.
Atención inmediata, incluso de noche
Paga tu valoración de urgencia y te atendemos lo más pronto posible. Disponibles en horario nocturno y madrugada cuando más lo necesitas.